흉막염에 대해서...흉통이나 호흡곤란이 동반한다?
- 건강
- 2022. 10. 9. 10:00

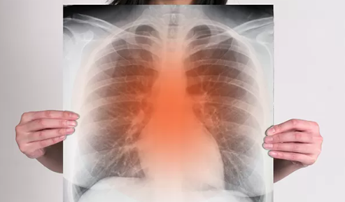
흉막염이란 폐를 싸고 있는 막인 "흉막"에 염증이 생기는 병으로 늑막염이라고도 합니다. 통상 이중 흉막 사이에는 극히 적은 양의 흉수가 있어 폐를 보호하는 쿠션 역할을 하지만 흉막에 염증이 생기면서 흉수가 과도하게 고여 흉통이나 호흡곤란 등의 증상으로 이어질 수 있습니다.
1. 원인
흉막염을 일으켜 흉수가 고이는 원인은 감염증이나 암, 류마티스 관절염 등의 교원병, 심부전, 신부전, 간경화 등 다양합니다. 그 중에서도,
- 심부전
- 폐렴에 따른 흉수(폐렴 수반성 흉수)
- 암이 원인인 흉수(악성흉수)
- 이코노미클래스증후군(폐혈전색전증)
등이 원인으로 많습니다. 남녀 비율은 같은 정도입니다만, 원인 질병에 따라서는 다릅니다.
류마티스 관절염에 의한 흉수나 유방암·부인과계 암이 원인인 악성 흉수는 여성, 석면 취급 직력에 영향을 주는 악성 흉막 중피종으로 인한 흉수나 알코올에 의한 만성 췌장염으로 인한 흉수는 남성에게 많습니다.
2. 증상
대표적인 증상은 숨을 들이쉴 때나 기침을 할 때 심해지는 흉통입니다. 흉통에 의해 호흡이 얕아짐으로써 호흡 곤란이 될 수 있습니다. 기침이나 가래, 피가 섞인 가래가 나올 수도 있습니다. 흉막염의 원인이 되는 질병에 따라 발열 등의 증상이 나타날 수 있습니다.
3. 검사
흉부 엑스레이 검사 및 흉부 CT 검사를 실시하여 흉수가 고여 있는지 확인합니다. 흉수가 있는 경우에는 흉수를 채취하여 검사를 실시합니다. pH나 당의 양, 총 콜레스테롤의 양 등을 확인함으로써 흉수가 고인 원인의 질병을 좁힙니다. 필요에 따라 흉막을 잘라내고 자세한 검사를 실시합니다.
4. 치료
항균약의 사용과 흉수를 드레인이라고 불리는 기구로 체외로 배출하여 제어하는 것이 치료의 기본입니다.또한 흉수의 원인이 된 질병에도 대응을 해 나갈 것입니다. 일반 세균이 원인인 경우는 몇 주 동안 항균제를 사용합니다. 악성 흉수의 경우는 원인이 되는 암의 유형, 화학 요법에 대한 반응성 등에 따라 치료 방침이 결정됩니다. 흉수를 드레인에서 완전히 배출하거나(완전 드레니지), 흉수가 차는 공간을 닫아 흉수가 고이지 않도록 하는 "흉막 유착술"로 컨트롤 하는 것이 효과적입니다.
5. 정리
흉막염은 감염증이나 암, 심부전 등 다양한 질병이 원인이 됩니다. 감염병 대책을 시행하고 지병이 있는 분은 적절한 치료를 받아 질병을 제어하는 것이 중요합니다.흉통 등 조금이라도 신경 쓰이는 증상이 있는 경우는 호흡기내과에서 진찰을 받도록 합시다.