성대결절의 증상과 치료-구체적인 수술방법은?
- 건강
- 2021. 12. 21. 09:08

음성 외래는, 「목소리가 쉰다」 「목소리가 나오기 어렵다」라는 고민을 해결하기 위해서 있는 진료과입니다. 그중에서도 음성외과는 수기를 구사하여 성대에 관한 모든 수술을 실시합니다. 성대에게 생기는 질환의 하나·성대 결절은 성대에게 생기는 혹과 같은 것으로, 성대 마름을 주된 특징으로 하는 병입니다만, 성대 결절의 수술은 어떻게 행해지는 것일까요?
성대결절이란?
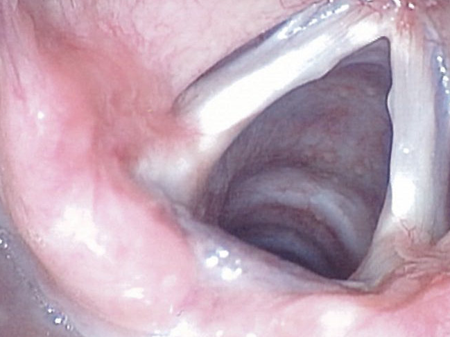
성대결절은 만성후두염의 일종입니다. 성대의 앞 1/3 부분 부위에 생기는 염증성 혹으로, 요인 결절 등으로도 부르는데요. 일반적으로 양쪽에 대칭적으로 발생하지만 드물게 한쪽에만 발병할 수도 있습니다. 발성 시에 성대의 점막이 마찰됨으로써 일어난다고 생각되어, 성대에 생기는 일종의 「펜다 코」와 같은 것입니다.
성대결절이 생겨나는 메커니즘
만성적으로 성대를 자극하는 것에 의해서 점막이 두껍고 딱딱해져, 점막이 부종상으로 붓거나 섬유화가 일어나거나 합니다. 이게 성대결절이 되는 거죠. 그래서 성대결절은 일상적으로 성대를 혹사하고 있는 직업의 가수, 교사, 보모, 아나운서 등이 많이 걸리는 병입니다. 어린이의 경우는 다소 남자에게 많고, 활발한 아이일수록 발병하기 쉽습니다.
증상은 목마름(말름:성취)이 주로 나타나며, 목의 위화감을 일으키기도 합니다. 또, 일내 변동이나 주중 변동이 있거나 소리를 내는 일이 적었던 날 등은 증상이 경쾌하거나 하는 것도 특징입니다.
덧붙여 선천적·유전적인 요소는 없고, 어른과 아이의 증상의 차이도 없습니다.

어떠한 때에 수술이 적응이 되는가?
성대폴립과 마찬가지로 결절이 발견되었다고 해서 바로 수술적응이 되는 것은 아닙니다. 왜냐하면 결절은 목구멍의 혹사를 그만두는 것만으로 낫는 환자도 많기 때문입니다.
그래서 우선 가급적 목을 사용하지 않도록 하는 지도가 이루어지게 됩니다. 그리고 소염 약의 투여와 스테로이드 호르몬의 흡입 등 약물 치료를 실시합니다. 또한 올바른 발성법을 습득시키기 위한 외래 음성 치료가 이루어지게 됩니다. 그러나 이러한 치료를 해도 효과가 없는 경우나, 업무상 어떻게 해서든 빨리 치료해 버리고 싶다고 환자가 희망하는 경우에는 결절을 절제하는 수술을 실시합니다.
구체적인 성대 결절 수술 방법
수술을 할 때는 입원이 필요합니다.전신 마취를 시킨 후, 후두 현미경 하수 술(라링고 마이크로 서저리)이 진행됩니다. 상세한 수술 내용은 성대 용종의 수술과 치료법(음성외과)에서 소개한 성대 용종의 수술 방법과 동일합니다.
화이버 스코프를 이용한 국소 마취의 방법도 있지만, 이것은 성대 폴립의 국소 마취 수술보다 어렵기 때문에 대부분의 병원에서 실시하고 있지 않습니다.
수술 후의 합병증이나 후유증, 치료 후의 경과는?
성대 결절 수술도 성대 폴립 수술과 마찬가지로 수술 후 상처가 열리지 않도록 1 주일 정도 침묵 기간을 둡니다. 또한 2주 정도는 소리를 지르거나 노래방에 가거나 해서는 안됩니다.
이것들을 잘 지키면, 그다지 큰 후유증이 남는 일은 없습니다. 단, 과도한 흡연은 완치 후 재발을 유도하기 때문에 흡연하고 있던 사람은 금연을 유의하도록 하십시오.
수술 시 얼마나 입원해야 하는가?
성대 결절 수술에 걸리는 기간은 2박 3일 정도입니다. 성대 폴립 수술과 마찬가지로 당일치기로 할 수 있는 수술도 있으므로 의사와 상담하여 최적의 술식을 선택하면 좋을 것입니다.